PROTESI FISSA
È un manufatto utilizzato per rimpiazzare la dentatura originaria persa o compromessa per motivi funzionali e/o estetici, la protesi può essere fissa o mobile. La protesi fissa comprende corone o capsule e ponti sia su denti naturali che su impianti, può essere di diversi materiali: lega, oro, titanio, ceramica integrale ed infine zirconio, che rappresenta il materiale di elezione per quanto riguarda l’estetica.
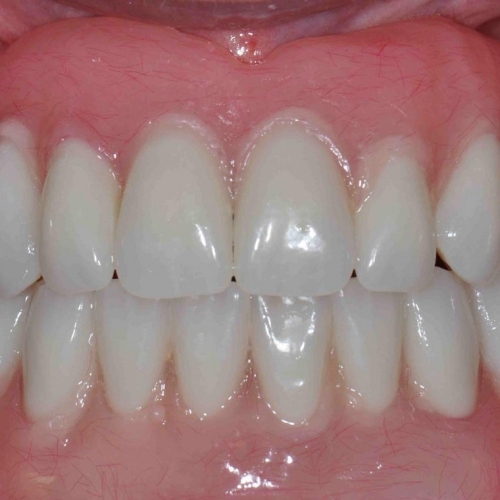
La zirconia, o ossido di Zirconio, è il materiale più resistente nel gruppo delle ceramiche metalfree.
Se la resistenza è il pregio principale delle protesi in metallo-ceramica, esse incontrano il comune problema del ritiro delle gengive, che lascia scoperta una linea grigia (metallo) tra gengiva e parte bianca in ceramica: un grave inconveniente estetico che rischia di inficiare il successo del trattamento.
Inoltre, molte delle leghe utilizzate contengono il Nichel o altri metalli che potrebbero non essere del tutto compatibili con l’organismo umano.
La Zirconia si sta sempre più imponendo come una validissima alternativa alle protesi in metallo-ceramica in quanto: più bella, maggiormente lucente, molto più brillante, con un processo produttivo più veloce e altrettanto resistente.
PROTESI MOBILE
- Parziale, si ancora tramite ganci o attacchi ai denti rimasti, può avere una struttura metallica, da qui il nome di protesi scheletrica o scheletrato, oppure può essere costruita con ganci estetici in materiale termoplastico.
- Totale, più conosciuta come dentiera, ha appoggio osteo-mucoso ed è meglio definita “mobile-totale” in quanto risulta essere un dispositivo che il paziente stesso può rimuovere e reinserire autonomamente. Il materiale più usato è la resina, ma può essere fatta anche con denti in ceramica o in resina composita.
Tutte le protesi sono certificate da dichiarazioni di conformità, che il Dottor Dino Monfredini Costa consegna al paziente unitamente alle istruzioni ed ai consigli per mantenere e far durare nel tempo i manufatti eseguiti.


